¿Qué es la miastenia gravis?
Es un trastorno neuromuscular. Los trastornos neuromusculares comprometen los músculos y los nervios que los controlan.
¿Qué causa la miastenia gravis?
La miastenia grave causa debilidad de los músculos voluntarios (esqueléticos), los cuales crean el movimiento y están normalmente bajo control consciente. Por otro lado, los músculos involuntarios no están bajo control consciente (como los músculos del corazón y muchos otros órganos internos).
Se desconoce la causa de los trastornos autoinmunitarios, como los de la miastenia grave. En algunos casos, la miastenia grave puede estar asociada con tumores del timo (un órgano del sistema inmunitario). Los pacientes con miastenia grave tienen un riesgo más alto de presentar otros trastornos autoinmunitarios como tirotoxicosis, artritis reumatoidea y lupus eritematoso sistémico (lupus).
La miastenia grave puede afectar a personas de cualquier edad y es más común en mujeres jóvenes y hombres de edad avanzada.
¿Cuáles son los síntomas de la miastenia gravis?
La debilidad muscular de la miastenia grave empeora con la actividad y mejora con el reposo. La debilidad en los músculos afectados puede causar:
- Dificultad para respirar debido a la debilidad de los músculos de la pared torácica
- Dificultad para deglutir o masticar, causando arcadas, asfixia o babeo frecuentes
- Dificultad para subir escaleras, levantar objetos o levantarse desde una posición de sedestación (sentado)
- Dificultad para hablar
- Cabeza caída
- Parálisis facial o debilidad de los músculos faciales
- Fatiga
- Ronquera o cambio de voz
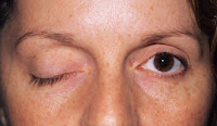
- Debilidad de los músculos oculares, provocando:
- visión doble
- dificultad para mantener la mirada
- párpado caído
Signos y exámenes
Exámenes que se pueden llevar a cabo:
- Anticuerpos frente a los receptores acetilcolínicos (pueden estar presentes en la sangre)
- Tomografía computarizada o resonancia magnética del tórax (pueden mostrar un tumor en el timo)
- Estimulación repetitiva (un tipo de estudio de conducción nerviosa que puede ser más sensible)
- EMG de una sola fibra (puede ser muy sensible)
Tratamiento
Los más importantes son los siguientes:
Fármacos anticolinesterásicos: Son aquellos que inhiben la colinesterasa, enzima que degrada la acetilcolina. La mayoría de los pacientes experimenta al menos una mejoría parcial, aunque muy pocos una mejoría completa.
Timectomía: extirpación quirúrgica del timo
Fármacos inmunosupresores: sobre todo glucocorticoides y azatioprina
Corticoterapia: El uso adecuado de glucocorticoides es eficaz en la mayoría de los enfermos. Para conseguir los mínimos efectos adversos, conviene administrar una sola dosis de prednisona al día.
Plasmaféresis: consiste en separar mecánicamente los anticuerpos patógenos del plasma sanguíneo del paciente.
Inmunoglobulina intravenosa: Las Inmunoglobulinas Intravenosas, proveen de anticuerpos protectores faltantes.
Tratamiento de la crisis miasténica: Se define como crisis miasténica a la exacerbación de la debilidad muscular capaz de poner en riesgo la vida del paciente. Generalmente ocurre por insuficiencia respiratoria causada por debilidad de la musculatura intercostal y el diafragma, y sólo suele ocurrir en pacientes mal controlados.
Complicaciones
- Complicaciones quirúrgicas
- Crisis miasténica (dificultad para respirar) que es potencialmente mortal
- Restricciones en el estilo de vida (posible)
- Efectos secundarios de los medicamentos (ver medicamento específico)


No hay comentarios:
Publicar un comentario